
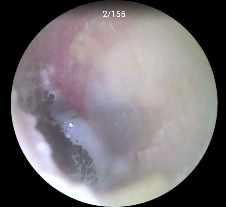
Otomycosis or ear fungus.
Aspergillus possibly Aspergillus niger. Caused due to moisture or water inside the ear. With the coming monsoon this is going to be a bigger issue. It might require more than one visit to clear out completely
To prevent fungus from growing in your ear.
Don’t use ear buds
Protect ears from water
Don’t use home remedies like hot oil with garlic and other herbs
Don’t use earbuds
#earfungus #aspergillus #otomycosis
Leave a comment